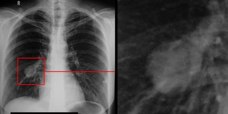
Красноярские медики запатентовали новый метод диагностики рака лёгких
Специалисты Центра ядерной медицины Федерального Сибирского научно-клинического центра ФМБА России разработали и запатентовали инновационный способ диагностики рака лёгких. Новый метод позволит выявлять заболевание на ранних стадиях и обнаруживать даже мельчайшие метастазы.
Как сообщили в ФМБА, технология основана на использовании молекул ДНК и РНК, способных связываться исключительно с опухолевыми клетками. Это обеспечивает высокую точность и минимизирует риск ложных результатов.
В настоящее время метод прошёл первый этап разработки и готовится к проведению клинических испытаний.





_04221212_b.jpg)
















